அ றுவைசிகிச்சை வெ ற்றி.. ஆனால் வ யிற்றுக்குள் க த்தரிக்கோலை மறந்த ம ருத்துவர்: அ வஸ் தையுடன் 25 நாட்கள்!

414

இந்திய மாநிலம் கேரளாவில் அ றுவைசிகிச் சையின் முடிவில் நோ யாளியின் வ யிற்றுக்குள் க த்தரிக்கோலை ம றந்த ம ருத்துவருக்கு எ திராக பு கார் அ ளிக்கப்பட்டுள்ளது. கேரளாவின் திரிச்சூரில் கனிமங்கலம் பகுதியை சேர்ந்தவர் ஜோசம் பால். 55 வயதான அவருக்கு கணையத்தில் தொ ற்று ஏற்பட்டது.

முதலில் தனியார் மருத்துவமனையை அணுகிய அவருக்கு போதுமான பணம் கட்ட முடியாததால் அ ரசு ம ருத்துவமனையிலேயே அ றுவைசிகிச்சை செய்துகொள்ளலாம் என மு டிவெடுத்தார்.

அதன்படி, திரிச்சூர் அரசு கல்லூரி மரு த்துவமனையில் அ றுவைசிகிச் சையும் செய்துள்ளார். அங்கிருந்த சீனியர் ம ருத்துவர் கவனக்குறைவாக அறு வைசிகி ச்சைக்குப் பயன்படுத்திய கத்தரிக்கோலை வயிற்றுக்குள்ளேயே வைத்து தைத்ததால் அதை அகற்ற மீண்டும் அறு வைசிகி ச்சை செய்துள்ளனர்.

இதுகுறித்து ம ருத்துவர் பாலி டி ஜோசப்பை வி சாரிக்கக் கோரி அவரது குடும்பத்தினர் மரு த்துவ கல்லூரி முதல்வர் மற்றும் ம ருத்துவமனை கண்காணிப்பு அ திகாரியிடம் புகார் கொடுத்துள்ளனர். நோயாளியின் மனைவி பிந்து இதுபற்றி கூறுகையில், எனது க ணவர் ஹெடைட்டிஸ் நோ யால் பா திக்கப்பட்டிருந்தார். தனியார் மரு த்துவமனையில் எங்களால் செலவுசெய்ய முடியாததால்தான் அரசு மரு த்துவமனைக்கு வந்தோம்.

முதலில் ம ருத்துவக் கல்லூரியின் இரைப்பை மற்றும் குடலியல் நிபுணரான மருத்துவர் பிரவீனை அணுகினோம். அவர்தான் மருத்துவர் பா லியை பரிந்துரைத்தார். ஆனால் அவர் அரசு ம ருத்துவ கல்லூரியில் சந்திப்பதற்கு பதிலாக அவருடைய சொந்த ம ருத்துவமனைக்கு ஆலோசனைக்கு வருமாறு கூறினார்.

அ றுவைசிகி ச்சை நன்றாக செய்ய பத்தாயிரம் ரூபாய் எங்களிடமிருந்து வாங்கிக்கொண்டார். அ றுவைசிகிச் சை செய்த பத்து நாட்களிலேயே பித்த நாளத்தில் மலம் இருப்பதாகக் கூறி மற்றொரு அ றுவைசிகி ச்சை செய்யப்பட்டது.

மீண்டும் இரண்டு வாரங்களுக்குப் பிறகு சிடி ஸ்கேன் செய்தனர். ஒரு ஜூனியர் மருத்துவர் அவரது குடலில் தொ ற்று இருப்பதாகவும், மீண்டும் ஒரு அ றுவைசிகி ச்சை செய்யவேண்டும் எனவும் கூறினார்.

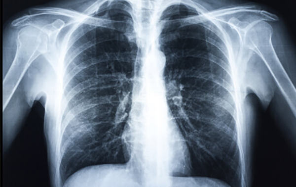
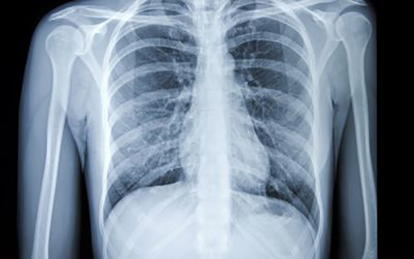
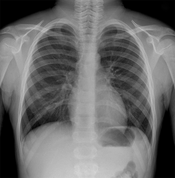
இதைக் கேட்ட எங்களுக்கு சந்தேகம் எழுந்தது. அதனால் வேறொரு தனியார் மரு த்துவ மனைக்கு சென்று எக்ஸ்ரே எடுத்துப் பார்த்தபோதுதான் வயிற்றுக்குள் கத்தரிக்கோல் இருப்பது தெரிய வந்தது. தனியார் மரு த்துவமனையிலேயே அறு வைசிகிச் சை செய்து க த்தரிக்கோலை வெளியே எடுத்தோம்.

25 நாட்களாக கத்தரிக்கோலை வயிற்றுக்குள் சுமந்தபடி தமது கணவர் அவஸ்தை பட்டுள்ளார் என தெரிவித்துள்ளார் பிந்து. முன்பே மரு த்துவர் பா லியிடம் கேட்டபோது அவர் தெளிவான பதிலை கொ டுக்கவில்லை. தாமதமின்றி அ றுவைசிகி ச்சை செய்யவேண்டும் என்பதை மட்டும் வ லியுறுத்தினார்.

அறு வைசிகிச் சைக்குப் பிறகும் அவரைத் தொடர்புகொண்டு இதுபற்றி பேசினோம். அ ரசு மரு த்துவமனையில் எதற்கு பணம் கேட்டார் என்று தெரியவில்லை. ம ருத்துவ மனை அ திகாரிகளையும் அதற்குபிறகு தொடர்புகொள்ள முடியவில்லை என்கிறார் பிந்து.